注册 | 登录
  • 在线工程师
  • 首页
  • 产品展示
    • 专业相机
      • USB3.0
      • USB2.0
      • HDMI
      • WiFi
    • 相机接口
      • 奥林巴斯
      • 尼康
      • 徕卡
      • 蔡司
      • HUVITZ
      • Labomed
    • 显微镜
      • 生物显微镜
      • 工业显微镜
      • 立体显微镜
      • 数码显微镜
    • 软件及其他
      • 显微图像软件
      • 显微镜物镜
      • 荧光激发块
      • 光源
  • 信息资讯
    • 新闻资讯
    • 技术文献
    • 光电专题
    • 图片相册
  • 产品支持
    • 查询验证
    • 常见问题
    • 文件下载
  • 关于我们
    • 联系我们
    • 诚招代理
    • 联系/订购
  • 产品优势
微视界产品展示专业相机WCAM实拍图片

WCAM实拍图片

立刻订购在线客服
产品介绍技术参数实拍图片

该系列图片由WCAM1080PA相机捕获

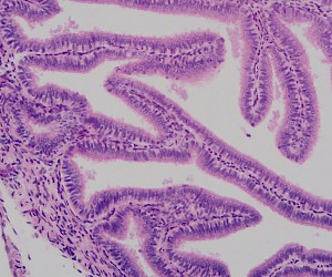
单词纤毛上皮
单词纤毛上皮
疏松结缔组织装片
疏松结缔组织装片
纤维结缔组织切片
纤维结缔组织切片
蛙血液
蛙血液
单层立方上皮切片
单层立方上皮切片
人血涂片
人血涂片
鸡血
鸡血
人心肌切片
人心肌切片
牛运动神经元装片
牛运动神经元装片
兔脊髓横切
兔脊髓横切
吐脊髓横切银染
吐脊髓横切银染
食道横切
食道横切
胃切片
胃切片
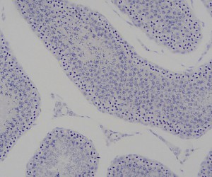
猫精巢切片
猫精巢切片
兔精子涂片
兔精子涂片
人精子
人精子
知识共享许可协议
署名-非商业性使用-禁止演绎
本作品采用知识共享署名 4.0 国际许可协议进行许可。 允许下载本站作品,在得到署名的情况下与别人共享我们的作品,但不能以任何方式改变作品,或出于商业目的使用作品。

快速链接

专业相机:
X8CAM4K16MPAMTR3CMOSE3ISPMGCMOSLHCCDICMOSWUCAMWCAMSCMOSSPCMOSUCMOSLCMOSS3CMOSU3CMOSL3CMOSMG3CMOSUHCCDEXCCDU3CCDXCAM0720PHBXCAM0720PHAE3CMOSXCAM1080PHAATR3CCDSCCCDMTR3CCD
相机接口:
NikonA037A050ZeissA075OlympusLeicaHuvitzLabomedEyepiece adapter tube
显微镜:
生物显微镜工业显微镜立体显微镜数码显微镜
软件及其他:
显微图像软件显微镜物镜荧光激发块光源

关于我们

工业数字相机、机器视觉相机、天文摄影和显微镜数字化解决方案

产品链接

  • 专业相机
  • 相机接口
  • 显微镜
  • 软件及其他

相关链接

  • 常见问题
  • 文件下载

联系我们

  • 电话:
  • 手机:
  • 邮件:
 
微视界相机影像传感器均由国际顶级供应商(索尼、镁光等),精心设计的传感器电路保证了低噪声同高信噪比,优异地光学镜头设计与制造保证影像原汁原味还原在顶级传感器前端,数十年的影像捕获、处理等软件设计经验使得我们成为最专业的工业数字相机生产厂家。
本站内容采用知识共享署名 4.0 国际许可协议进行许可:CC BY-NC-ND

注册成为微视界会员

我已经有了账号,登录

登录微视界

登录遇到问题?忘记密码?
没有账号,注册一个

忘记密码

点击"重置密码"系统会将临时密码发送至你的邮箱,如未收到邮件请与管理员联系。 注意:在收到临时密码之后请登陆系统并重设新密码

用户登录  |  注册账号